
CT引导下治疗操作中

手术中CT引导图片

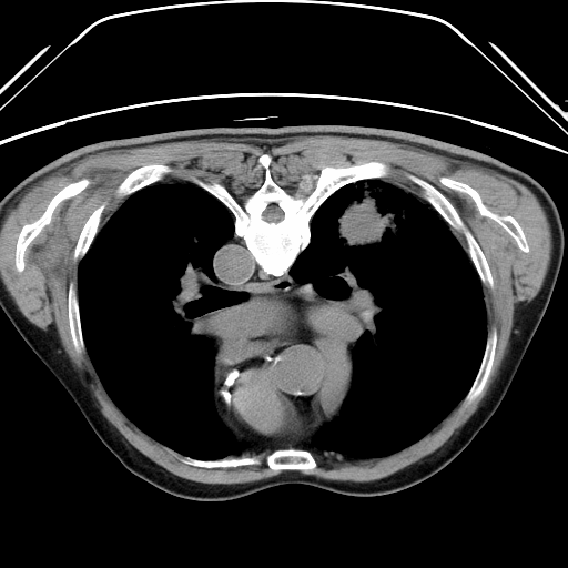
CT扫描提示右侧周围型肺癌
近日,宜昌市中医医院微创介入科为一来自葛洲坝工程局72岁老年男性患者成功实施了CT引导下肺癌射频消融治疗,标志着市中医医院绿色治疗肺癌再上新台阶。
该患者因长期吸烟,反复咳嗽,通过病理确诊为右侧周围型肺癌,考虑到患者年龄大,长期患高血压糖尿病,同时合并肾功能不全,承受不住手术风险及术后化疗,因此转入我院微创介入科施行CT引导下肺癌射频消融治疗术。
通过局部消毒,局部麻醉后在CT引导下将直径2毫米射频针准确刺入肿瘤中心,10分钟后结束治疗,术中患者无明显不适,术后患者自行走回病房,3天后出院。
在我国,肺癌占全部恶性肿瘤死亡的22.7%,是恶性肿瘤死亡的首位原因。影像引导下经皮射频消融术作为微创治疗手段,已被用于包括肝,肾,骨和肾上腺等各种实体肿瘤,射频消融属于治愈性手段。射频消融无论单独应用还是与常规方法相结合,成为失去手术机会肿瘤患者的治疗选择,已经显示其优势。
目前手术切除仍然是肺癌的主要治疗手段。当肿瘤≤3-5cm,预期能够得到完全消融的早期非小细胞肺癌,或者生长缓慢的孤立性肺转移癌,射频消融可以得到根治性效果。对于较大的肿瘤可行姑息性射频消融。与手术相比较,消融的优势包括可以精确控制,完全毁损,反复使用,控制病情和降低死亡率,成本相对较低,方法简便,甚至还可以门诊实施。射频消融在局部控制肿瘤及缓解全身症状方面具有重要的临床应用价值。
该患者因长期吸烟,反复咳嗽,通过病理确诊为右侧周围型肺癌,考虑到患者年龄大,长期患高血压糖尿病,同时合并肾功能不全,承受不住手术风险及术后化疗,因此转入我院微创介入科施行CT引导下肺癌射频消融治疗术。
通过局部消毒,局部麻醉后在CT引导下将直径2毫米射频针准确刺入肿瘤中心,10分钟后结束治疗,术中患者无明显不适,术后患者自行走回病房,3天后出院。
在我国,肺癌占全部恶性肿瘤死亡的22.7%,是恶性肿瘤死亡的首位原因。影像引导下经皮射频消融术作为微创治疗手段,已被用于包括肝,肾,骨和肾上腺等各种实体肿瘤,射频消融属于治愈性手段。射频消融无论单独应用还是与常规方法相结合,成为失去手术机会肿瘤患者的治疗选择,已经显示其优势。
目前手术切除仍然是肺癌的主要治疗手段。当肿瘤≤3-5cm,预期能够得到完全消融的早期非小细胞肺癌,或者生长缓慢的孤立性肺转移癌,射频消融可以得到根治性效果。对于较大的肿瘤可行姑息性射频消融。与手术相比较,消融的优势包括可以精确控制,完全毁损,反复使用,控制病情和降低死亡率,成本相对较低,方法简便,甚至还可以门诊实施。射频消融在局部控制肿瘤及缓解全身症状方面具有重要的临床应用价值。
